¹«Ë¾ÐÂÎÅ
COMPANY NEWS
J Adv Res£¨IF 13.0£©|¶¡±½Ìª°ÐµãÐÂÍ»ÆÆ£º°ÐÏòVIMÖØËÜ΢Ѫ¹ÜÍøÂçÔö½øÉñ¾ÐÞ¸´
¿ËÈÕ£¬£¬£¬£¬£¬£¬£¬£¬Öйúҽѧ¿ÆÑ§Ôº±±¾©ÐºÍҽѧԺҩÓÃÖ²ÎïÑо¿ËùËï¹ð²¨½ÌÊÚÍŶÓÑо¿Ð§¹û¡¶Butylphthalide Enhances Neurorestoration following Ischemic Stroke by Restructuring Microvasculature through?Vimentin Modulation¡·½ÒÏþÔÚ¡¶Journal of Advanced Research¡·ÔÓÖ¾£¨Ó°ÏìÒò×Ó13.0·Ö£©£¬£¬£¬£¬£¬£¬£¬£¬Ê×´ÎÃ÷È·¶¡±½Ìª£¨NBP£©Í¨¹ý°ÐÏòVimentin(VIM)ÖØËÜ΢Ѫ¹ÜÍøÂ磬£¬£¬£¬£¬£¬£¬£¬½ø¶øÔö½øÈ±ÑªÐÔÄÔ×äÖкóµÄÉñ¾ÐÞ¸´£¬£¬£¬£¬£¬£¬£¬£¬ÎªNBPµÄÁÙ´²ÓÃÒ©ÌṩÁ˼áʵµÄÀíÂÛ»ù´¡¡£¡£¡£¡£¡£¡£
²¨ÐÎÂѰף¨VIM£©ÊÇÒ»ÖÖÆÕ±é±í´ïÓÚ¶àÖÖϸ°ûÀàÐ͵Äϸ°û¹Ç¼ÜÂѰף¬£¬£¬£¬£¬£¬£¬£¬ÔÚµ÷¿ØÏ¸°û¹Ç¼Ü¶¯Á¦Ñ§¡¢Î¬³Öϸ°ûǨáãÀú³ÌÖеĻùÖÊ𤸽µÈ·½ÃæÊ©Õ¹Ö÷Òª×÷Ó㬣¬£¬£¬£¬£¬£¬£¬²¢¼ÓÈëѪ¹ÜÌìÉúÓëÖÐÊàÉñ¾ÏµÍ³ÔÙÉúµÈÐÄÀíÀú³Ì¡£¡£¡£¡£¡£¡£È±ÑªÐÔÄÔ×äÖÐʱ£¬£¬£¬£¬£¬£¬£¬£¬Ñª¹ÜÄÚÆ¤Ï¸°ûÖеÄVIM¹ØÓÚÄÔ΢Ѫ¹ÜµÄÐγÉÓëÐÂÉúÖÁ¹ØÖ÷Òª£»£»£»£»£»£»£»Æäȱʧ»áµ¼Ö¹£ËÀÇøÓòÀ©´ó²¢×è°Éñ¾¹¦Ð§»Ö¸´¡£¡£¡£¡£¡£¡£Í¬Ê±£¬£¬£¬£¬£¬£¬£¬£¬Éñ¾ÔªÖеÄVIMÄܹ»Î¬³ÖÍ»´¥½á¹¹ÍêÕûÐÔ£¬£¬£¬£¬£¬£¬£¬£¬µ÷¿ØÉñ¾ÐÞ¸´Ïà¹ØÂѰף¨ÈçGAP43¡¢BDNF£©µÄ±í´ï£¬£¬£¬£¬£¬£¬£¬£¬²¢Ó°ÏìÉñ¾ÔªµçÐźŴ«µ¼¡£¡£¡£¡£¡£¡£±ðµÄ£¬£¬£¬£¬£¬£¬£¬£¬VIM×÷ΪNotchÐźÅͨ·µÄÒªº¦µ÷¿ØÒò×Ó£¬£¬£¬£¬£¬£¬£¬£¬¿Éͨ¹ý±»NBP°ÐÏò×÷Óýø¶ø¼¤»îNotchͨ·£¬£¬£¬£¬£¬£¬£¬£¬Éϵ÷Òªº¦ÂѰױí´ï£¬£¬£¬£¬£¬£¬£¬£¬´Ó¶øÔö½øÑª¹ÜÐÂÉúÓëÉñ¾ÐÞ¸´¡£¡£¡£¡£¡£¡£
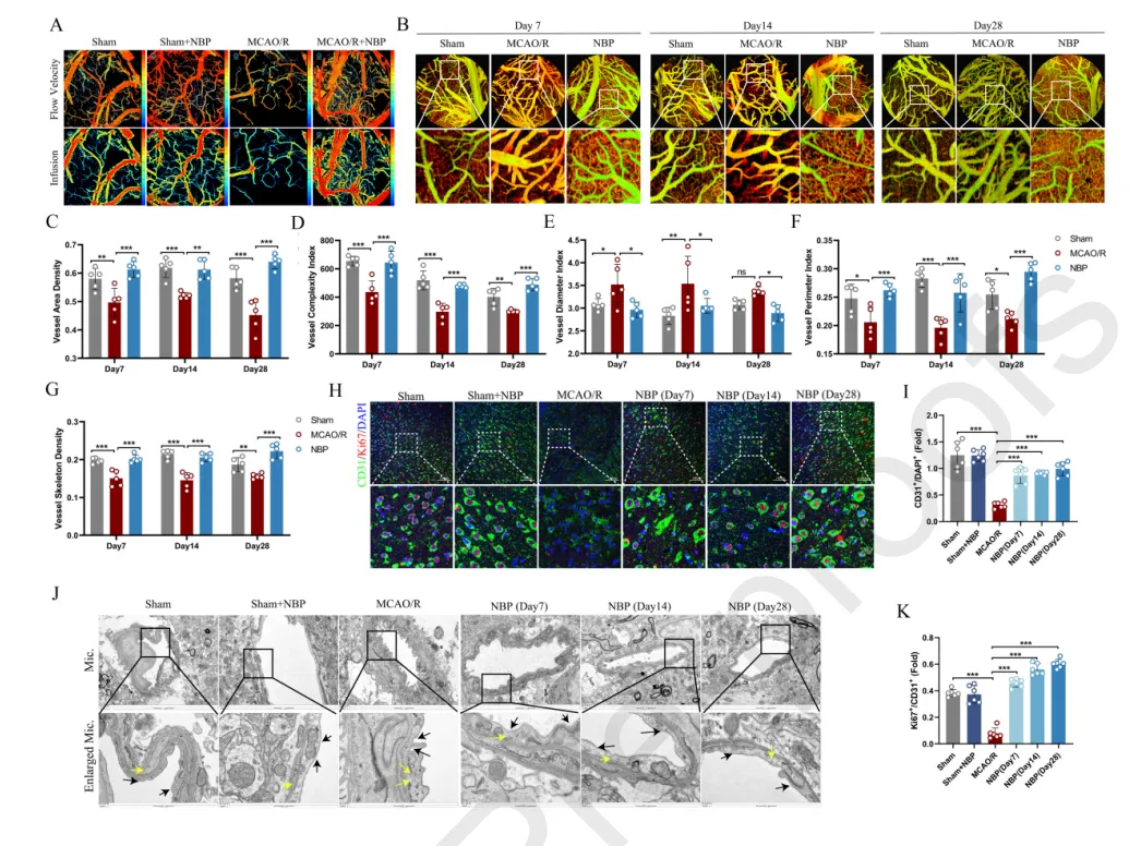
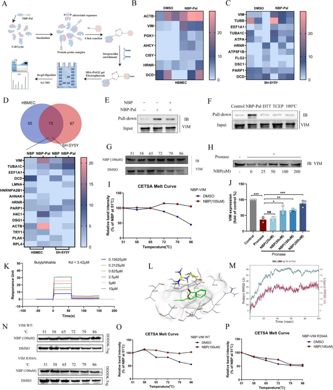
Ñо¿ÍŶÓʹÓôóÊóµÄMCAO/RÄ£×Ó²¢Ê¹ÓÃÃâÒßÓ«¹â¡¢¼¤¹â¶àÆÕÀÕѪÁ÷ÒǺ͹âѧÏà¹Ø¶Ï²ãѪ¹Ü³ÉÏñµÈÊÖÒÕ¾ÙÐмà²â£¬£¬£¬£¬£¬£¬£¬£¬Ö¤ÊµÁËNBP¶ÔÉñ¾Ñª¹ÜÍøÂçµÄ±£»£»£»£»£»£»£»¤×÷Óᣡ£¡£¡£¡£¡£Ëæºó£¬£¬£¬£¬£¬£¬£¬£¬ÔËÓö¨Á¿»¯Ñ§ÂѰ×ÖÊ×éѧҪÁ죬£¬£¬£¬£¬£¬£¬£¬ÍŽáPAL-CC-ABPPÊÖÒÕ£¬£¬£¬£¬£¬£¬£¬£¬È·¶¨NBPµÄ·Ö×ӰеãΪVIM¡£¡£¡£¡£¡£¡£Í¨¹ý¾ºÕùÐÔÒÖÖÆ¡¢¹²¼ÛÍŽáʵÑ飬£¬£¬£¬£¬£¬£¬£¬ÒÔ¼°CETSA¡¢DARTS¡¢SPRÆÊÎöµÈÊÖÒÕÊֶΣ¬£¬£¬£¬£¬£¬£¬£¬Ö¤ÊµÁËNBPÓë°ÐÂѰ׵ÄÖ±½ÓÏ໥×÷Óᣡ£¡£¡£¡£¡£·Ö×ӶԽӺͷÖ×Ó¶¯Á¦Ñ§Ä£Äâ½øÒ»²½Åú×¢£¬£¬£¬£¬£¬£¬£¬£¬NBP¿ÉÄÜͨ¹ýÓëVIM»îÐÔ¿Ú´üÖеÄArg 304ÍŽáʩչ±£»£»£»£»£»£»£»¤×÷Óᣡ£¡£¡£¡£¡£Ñо¿·¢Ã÷£¬£¬£¬£¬£¬£¬£¬£¬ÄÔѪ¹ÜÄÚÆ¤ÖеÄVIMÇóý»áÆÆËðÄÔ΢Ѫ¹ÜºÍÉñ¾ÔªµÄÕý³£·¢Óý£»£»£»£»£»£»£»¶øÔÚÄÔÉñ¾ÔªÖÐÇóýVIMÔòÖ÷ÒªÓ°ÏìÉñ¾µçÐźźʹóÄÔ·¢Óý£¬£¬£¬£¬£¬£¬£¬£¬¶ø·ÇѪ¹ÜÌìÉú£¬£¬£¬£¬£¬£¬£¬£¬Õâ͹ÏÔÁËÄÔѪ¹ÜÄÚÆ¤ÖÐVIM¶ÔÉñ¾Ñª¹ÜÍøÂçµÄÖ÷ÒªÐÔ¡£¡£¡£¡£¡£¡£½øÒ»²½Ñо¿Ö¤Êµ£¬£¬£¬£¬£¬£¬£¬£¬NBPͨ¹ý°ÐÏòVIMµ÷¿ØNotchͨ·À´ÖØËÜ΢Ѫ¹ÜÍøÂçÐÞ¸´Éñ¾ËðÉË£¬£¬£¬£¬£¬£¬£¬£¬´Ó¶øÊ©Õ¹ÖÎÁÆÈ±ÑªÐÔÄÔ×äÖеÄ×÷Óᣡ£¡£¡£¡£¡£

Ч¹ûÒ»£º½¨Éè´óÊóÄÔ×äÖÐÄ£×Ó¸øÓèNBPÖÎÁÆ£¬£¬£¬£¬£¬£¬£¬£¬Ð§¹ûÏÔʾNBPÔö½ø×äÖкóÄÔѪÁ÷ºÍÐÂÉúѪ¹ÜÐγɡ£¡£¡£¡£¡£¡£

Ч¹û¶þ£ºÎªÁËÃ÷È·Æä×÷ÓûúÖÆ£¬£¬£¬£¬£¬£¬£¬£¬Ñо¿Í¨¹ýºÏ³ÉNBP¹âÇ׺Í̽Õ룬£¬£¬£¬£¬£¬£¬£¬ÔÚÄÚÆ¤Ï¸°ûºÍÉñ¾ÔªÖÐÀֳɡ°´¹ÂÚ¡±³öÁ˰ÐÂѰ×VIM¡£¡£¡£¡£¡£¡£Ëæºó¶à¸öÉú»¯ÊµÑéÅú×¢NBPÓëVIM±£´æÌØÒìÐÔÇÒÎȹ̵ÄÍŽᡣ¡£¡£¡£¡£¡£
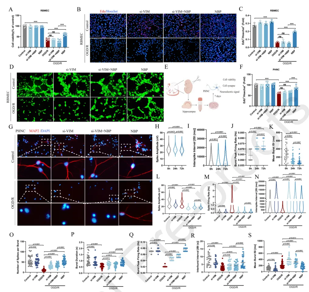
Ч¹ûÈý£º½¨ÉèOGD/RÓÕµ¼µÄϸ°ûËðÉËÄ£×Ó£¬£¬£¬£¬£¬£¬£¬£¬Í¨¹ýÇõÍÊÖÒÕ̽ÌÖVIMµÄ¹¦Ð§£¬£¬£¬£¬£¬£¬£¬£¬Ð§¹ûÅú×¢VIMÇõÍÏÔÖøÒÖÖÆÁËNBPµÄ±£»£»£»£»£»£»£»¤×÷Ó㬣¬£¬£¬£¬£¬£¬£¬NBPÐèÒªÒÀÀµVIMÀ´Ôö½øÑª¹ÜÐÂÉú¡£¡£¡£¡£¡£¡£

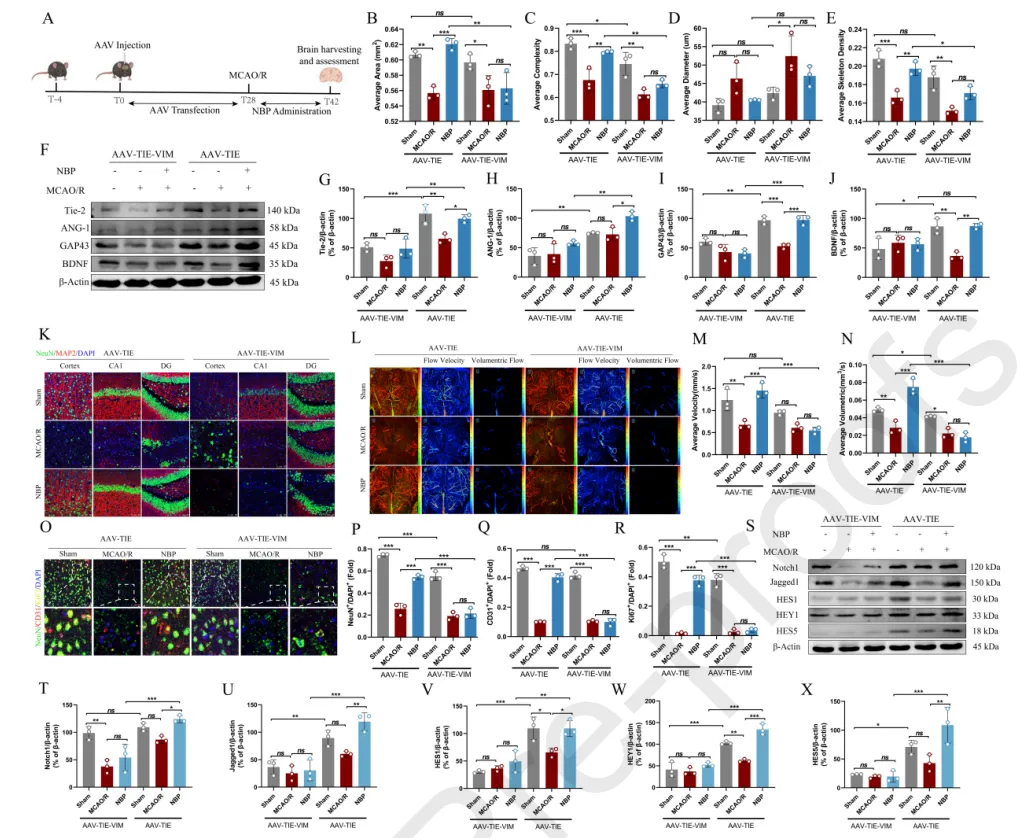
Ч¹ûËÄ£º½¨ÉèÌØÒìÐÔÇõÍѪ¹ÜÄÚÆ¤Ï¸°ûÖеÄVIMСÊóÄ£×Ó£¬£¬£¬£¬£¬£¬£¬£¬Ð§¹ûÏÔʾÇõÍѪ¹ÜÄÚÆ¤Ï¸°ûÖеÄVIM×è°ÁË´óÄÔ΢Ѫ¹ÜÍøÂçµÄÖØÐÞ£¬£¬£¬£¬£¬£¬£¬£¬ÇÒÓ°ÏìÁËÉñ¾ÔªÍ»´¥µÄ½á¹¹ÒÔ¼°Éñ¾ÐÞ¸´Ïà¹ØÂѰ׵ıí´ï£¬£¬£¬£¬£¬£¬£¬£¬Ï÷ÈõÁËNBP¶ÔÉñ¾¹¦Ð§µÄ¸ÄÉÆ×÷Óᣡ£¡£¡£¡£¡£Ð§¹ûÅúעѪ¹ÜÄÚÆ¤Ï¸°ûÖÐVIM»ùÒòÇõͶÔÐÂÉúѪ¹ÜÐγɺÍÉñ¾ÐÞ¸´¾ßÓÐÖ÷Òª×÷Óᣡ£¡£¡£¡£¡£

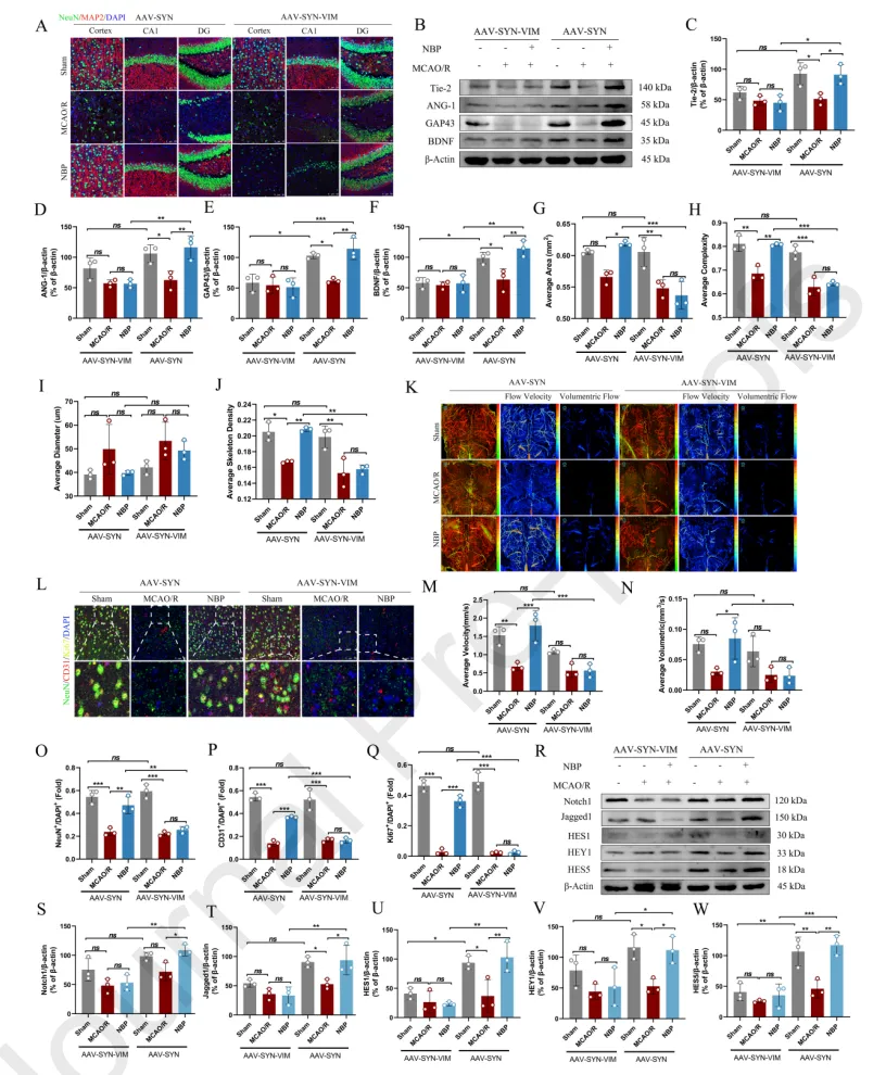
Ч¹ûÎ壺¹¹½¨ÁËÌØÒìÐÔÇõÍÉñ¾ÔªÖеÄVIMµÄСÊóÄ£×Ó£¬£¬£¬£¬£¬£¬£¬£¬Ñо¿·¢Ã÷ÌØÒìÐÔÇõÍÉñ¾ÔªÖеÄVIMδÏÔÖøÓ°ÏìÐÂÉúѪ¹ÜÐγɣ¬£¬£¬£¬£¬£¬£¬£¬µ«¶ÔÉñ¾ÐÞ¸´±¬·¢Ó°Ïì¡£¡£¡£¡£¡£¡£Ñо¿ÏÔʾNBPͨ¹ý°ÐÏòVIM£¬£¬£¬£¬£¬£¬£¬£¬½ø¶ø¼¤»îÁËÔÚѪ¹ÜÐÂÉúºÍÉñ¾±¬·¢Öж¼ÆðÒªº¦×÷ÓõÄNotchÐźÅͨ·£¬£¬£¬£¬£¬£¬£¬£¬´Ó¶øÐµ÷Ôö½ø×äÖкóµÄ΢Ѫ¹ÜÖØÐÞÓëÉñ¾ÐÞ¸´¡£¡£¡£¡£¡£¡£

Ñо¿Ð§¹ûÅú×¢£¬£¬£¬£¬£¬£¬£¬£¬ NBPͨ¹ýÖØËÜ΢Ѫ¹ÜϵͳÒÔÔö½øÉñ¾ÐÞ¸´£¬£¬£¬£¬£¬£¬£¬£¬ÓÐÓÃÖÎÁÆÈ±ÑªÐÔ×äÖС£¡£¡£¡£¡£¡£VIM±»È·¶¨ÎªNBP µÄае㣬£¬£¬£¬£¬£¬£¬£¬ÕâΪ̽Ë÷VIMÔÚÉñ¾Ñª¹ÜñîºÏÖеÄ×÷ÓõÓÚ¨ÁË»ù´¡¡£¡£¡£¡£¡£¡£½øÒ»²½»úÖÆÑо¿ÏÔʾ£¬£¬£¬£¬£¬£¬£¬£¬NBPͨ¹ý°ÐÏòVIMµ÷¿ØNotchÐźÅͨ·£¬£¬£¬£¬£¬£¬£¬£¬½ø¶øÔö½øÈ±ÑªÐÔ×äÖкóµÄѪ¹ÜÐÂÉúÓëÉñ¾ÐÞ¸´¡£¡£¡£¡£¡£¡£
×ÛÉÏËùÊö£¬£¬£¬£¬£¬£¬£¬£¬±¾Ñо¿Ê×´ÎÃ÷È·ÁËVIMÊÇNBPʩչÖÎÁÆ×÷ÓõÄÒªº¦·Ö×Ӱе㣬£¬£¬£¬£¬£¬£¬£¬²ûÊÍÁËNBPͨ¹ý°ÐÏòVIMµ÷¿ØNotchÍ¨Â·ÖØ¹¹Î¢Ñª¹ÜÔö½øÉñ¾ÐÞ¸´µÄ×÷ÓûúÖÆ¡£¡£¡£¡£¡£¡£¸ÃÑо¿²»µ«Ìî²¹ÁËNBPÌØÒìÐÔ×÷ÓðеãµÄÈÏÖª¿Õȱ£¬£¬£¬£¬£¬£¬£¬£¬Ò²ÉÁ˶ÔVIMÔÚÉñ¾Ñª¹ÜÍøÂçÖй¦Ð§µÄ¿ÆÑ§Ã÷È·£¬£¬£¬£¬£¬£¬£¬£¬ÎªÈ±ÑªÐÔÄÔ×äÖеÄÖÎÁÆÌṩÁËеÄÀíÂÛÒÀ¾ÝºÍDZÔÚ¸ÉÔ¤Õ½ÂÔ¡£¡£¡£¡£¡£¡£
²Î¿¼ÎÄÏ×£ºXiao, Haiyan et al. ¡°Butylphthalide enhances neurorestoration following ischemic stroke by restructuring microvasculature through vimentin modulation.¡± Journal of advanced research, S2090-1232(25)00964-6. 7 Dec. 2025, doi:10.1016/j.jare.2025.11.068
¡¾ÉùÃ÷¡¿
1¡¢±¾ÐÂÎÅÖ¼ÔÚ·ÖÏíÑо¿Ï£ÍûÐÅÏ¢£¬£¬£¬£¬£¬£¬£¬£¬·Ç¹ã¸æÓÃ;£»£»£»£»£»£»£»2¡¢±¾×ÊÁϽö¹©Ò½Ò©×¨ÒµÈËÊ¿²Î¿¼£¬£¬£¬£¬£¬£¬£¬£¬·Ç²úÆ·ÍÆ¼öÒÀ¾Ý£¬£¬£¬£¬£¬£¬£¬£¬Ò²²»Ó¦±»ÊÓΪÕïÁƽ¨Òé¡£¡£¡£¡£¡£¡£






